सोरायसिस त्वचा की ऊपरी सतह का एक चर्म रोग है ये वंशानुगत है लेकिन ये और भी कई कारणों से भी हो सकता है। आनु्वंशिकता के अलावा इसके लिए पर्यावरण भी एक बड़ा कारण माना जाता है। यह असाध्य बीमारी कभी भी किसी को भी हो सकती है। कई बार इलाज के बाद इसे ठीक हुआ समझ लिया जाता है जबकि यह रह-रहकर सिर उठा लेता है। शीत ऋतु में यह बीमारी प्रमुखता से प्रकट होती है।
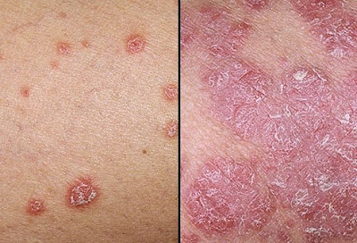
सोरयासिस एक प्रकार का चर्म रोग है जिसम त्वचा में cells की तादाद बढने लगती है।चमडी मोटी होने लगती है और उस पर खुरंड और पपडीयां उत्पन हो जाती हैं। ये पपडीया सफेद चमकीली हो सकती है।इस रोग के भयानक रूप में पूरा शारीर मोट लाल रंग का पपडीदार चमडी से ढक जाता है।यह रोग अधिकतर के कोहनी,घुटना और खोपडी पर होता है।अच्छी बात ये है की यह रोग छू तहा याने संक्रमक नही है। रोगी के संपर्क से अन्य लोगो को कोई खतरा नहीं है।
सोरायसिस चमड़ी की एक ऐसी बीमारी है जिसके ऊपर मोटी परत जम जाती है। दरअसल चमड़ी की सतही परत का अधिक बनना ही सोरायसिस है। त्वचा पर भारी सोरायसिस की बीमारी सामान्यतः हमारी त्वचा पर लाल रंग की सतह के रूप में उभरकर आती है और स्केल्प (सिर के बालों के पीछे) हाथ-पाँव अथवा हाथ की हथेलियों, पाँव के तलवों, कोहनी, घुटनों और पीठ पर अधिक होती है। 1-2 प्रतिशत जनता में यह रोग पाया जाता है।
चिकित्सा में अभी तक ऐसा परिणय नहीं है जससे सोरयासिस रोग का पता लगाया जा सके। खून की जांच से भी इस रोग का पता नही चलता है।
लक्षण
- रोग से ग्रसित (आक्रांत) स्थान की त्वचा चमकविहीन, रुखी-सूखी, फटी हुई और मोटी दिखाई देती है तथा वहाँ खुजली भी चलती है। सोरायसिस के क्रॉनिक और गंभीर होने पर 5 से 40 प्रतिशत रोगियों में जोड़ों का दर्द और सूजन जैसे लक्षण भी पाए जाते हैं एवं कुछ रोगियों के नाखून भी प्रभावित हो जाते हैं और उन पर रोग के चिह्न (पीटिंग) दिखाई देते हैं।
क्यों और किसे होता है सोरायसिस
- सोरायसिस क्यों होता है इसका सीधे-सीधे उत्तर देना कठिन है क्योंकि इसके मल्टी फ्लेक्टोरियल (एकाधिक) कारण हैं। अभी तक हुई खोज (रिसर्च) के अनुसार सोरायसिस की उत्पत्ति के लिए मुख्यतः जेनेटिक प्री-डिस्पोजिशन और एनवायरमेंटल फेक्टर को जवाबदार माना गया है।सोरायसिस हेरिडिटी (वंशानुगत) रोगों की श्रेणी में आने वाली बीमारी है एवं 10 प्रतिशत रोगियों में परिवार के किसी सदस्य को यह रोग रहता है।
- किसी भी उम्र में नवजात शिशुओं से लेकर वृद्धों को भी हो सकती है। यह इंफेक्टिव डिसिज (छूत की बीमारी) भी नहीं है। सामान्यतः यह बीमारी 20 से 30 वर्ष की आयु में प्रकट होती है, लेकिन कभी-कभी इस बीमारी के लक्षण क्रॉनिक बीमारियों की तरह देरी से उभरकर आते हैं। सोरायसिस एक बार ठीक हो जाने के बाद कुछ समय पश्चात पुनः उभर कर आ जाता है और कभी-कभी अधिक उग्रता के साथ प्रकट होता है। ग्रीष्मऋतु की अपेक्षा शीतऋतु में इसका प्रकोप अधिक होता है।
रोग होने पर क्या करें
- सोरायसिस होने पर विशेषज्ञ चिकित्सक के बताए अनुसार निर्देशों का पालन करते हुए पर्याप्त उपचार कराएँ ताकि रोग नियंत्रण में रहे। थ्रोट इंफेक्शन से बचें और तनाव रहित रहें, क्योंकि थ्रोट इंफेक्शन और स्ट्रेस सीधे-सीधे सोरायसिस को प्रभावित कर रोग के लक्षणों में वृद्धि करता है। त्वचा को अधिक खुश्क होने से भी बचाएँ ताकि खुजली उत्पन्न न हो।
क्या है इसके लिए उपचार
- सोरायसिस के उपचार में बाह्य प्रयोग के लिए एंटिसोरियेटिक क्रीम/ लोशन/ ऑइंटमेंट की महत्वपूर्ण भूमिका होती है। रोग की तीव्रता न होने पर साधारणतः मॉइस्चराइजिंग क्रीम इत्यादि से ही रोग नियंत्रण में रहता है। लेकिन जब बाह्योपचार से लाभ न हो तो मुँह से ली जाने वाली एंटीसोरिक और सिमटोमेटिक औषधियों का प्रयोग आवश्यक हो जाता है। आजकल अल्ट्रावायलेट लाइट से उपचार की विधि भी अत्यधिक उपयोगी और लाभदायक हो रही है।
- कुछ रोगी बताते है की गर्मी के मौसम में और धूप से उनको राहत मिलती है। एलोपेथिक चिकित्सा मे यह रोग लाईलाज माना गया है। उनके मतानुसार यह रोग सारे जीवन भुगतना पडता है।लेकिन कुछ कुदरती चीजे है जो इस रोग को काबू में रखती हैं और रोगी को सुकून मिलता है। मै आपको एसे ही उपचार के बारे मे जानकारी दे रहा हूँ .
- बादाम १० नग का पावडर बना ले। इसे पानी में उबाले। यह दवा सोरयासिस रोग की जगह पर लगाये। रात भर लगी रहने के बाद सुबह मे पानी से धो ले। यह उपचार अच्छे परिणाम दर्शाता है।
- एक चम्मच चंदन का पावडर ले।इसे आधा लीटर गरम पानी में उबले। तीसरा हिस्सा रहने पर उतार ले। अब इसमें थोडा गुलाब जल और शक्कर मिला दे। यह दवा दन म ३ बार पिए।बहुत कारगर उपचार है।
- पत्तागोभी सोरयासिस में अच्छा प्रभाव दिखाती है। उपर का पत्ता ले। इसे पानी से धोले।हथेली से दबाकर सपाट कर ले।इसे थोडा सा गरम करके प्रभावित हिस्से पर रखकर उपर सूती कपडा लपेट दे। यह उपचार लम्बे समय तक दिन में दो बार करने से जबरदस्त फ़ायदा होता है।
- पत्तागोभी का सूप सुबह शाम पीने से सोरयासिस में लाभ होते देखा गया है।प्रयोग करने योग्य है।
- निम्बू के रस में थोडा पानी मिलाकर रोग स्थल पर लगाने से सुकून मलता है। निम्बू का रस तीन घंट के अंतर से दिन में ५ बार पीते रहने से छाल रोग ठीक होने लगता है।
- शिकाकाई पानी मे उबालकर रोग के धब्बो पर लगाने से नियंत्रित होता है।
- आप केले के पत्तो को प्रभावित जगह पर रखे। ऊपर कपडा लपेटे। इससे भी आपको काफी फ़ायदा होगा।
- कुछ चिकित्सक जडी-बूटी की दवाई में steroids मिलाकर ईलाज करते है जससे रोग शीघ्रता से ठीक होता प्रतीत होता है। लेकिन ईलाज बंद करने पर रोग पुन: भयानक रूप में प्रकट हो जाता है।
- इस रोग को ठक करने के लिए जीवन शैली में बदलाव करना जरूरी है। सर्दियों में ३ लीटर और गर्मियों में ५ से ६ लीटर पानी पीने की आदत बना ले। इससे वर्जतीय पदार्थ शारीर से बाहर निकलेगे ।
- सोरयासिस चिकित्सा का एक नियम यह है की रोगी को १० से १५ दिन तक सिर्फ फ़लाहार पर रखना चाहिये। उसके बाद दूध और फ़ल का रस चालू करना चाहये।
- रोगी के कब्ज़ निवारण के लिये गुन गुने पानी का एनीमा देना चाहिये। इससे रोग की तीव्रता घट जाती है।
- अपरस वाले भाग को नमक मले पानी से धोना चाहये फिर उस भाग पर जेतुन का तेल लगाना चाहिए।
- खाने में नमक बिलकुल ही वर्जित है। पीडित भाग को नमक मिले पानी से धोना चाहये।
- धुम्रपान करना और अधिक शराब पीना तो विशेष रूप से हानिकारक है। ज्यादा मिर्च मसालेदार चीज़े भी न खाएं।
यूनानी प्रयोग
- सोरायसिस के इलाज के लिए शरबत मुरक्कब मुसफ्फी खून शरबत उन्नाब, इत्रिफल शाहतरा, रोगन नीम, माजून फलासफा जैसी दवाएं पाउडर, चटनी, तेल व काढ़े के रूप मेे देते हैं। यह इलाज रोग के आधार पर 4-6 माह तक चलता है।
परहेज भी जरूरी:-
- इस पद्धति से इलाज के दौरान मरीज को अचार, बैंगन, आलू और बादी करने वाली चीजों से परहेज करना होता है। साथ ही बैलेंस डाइट के साथ ओमेगा थ्री फैटी एसिड युक्तखाद्य पदार्थ जैसे बादाम, अखरोट, अलसी के बीज, राजमा और जैतून का तेल प्रयोग करें।
- आजकल कुछ चिकित्सक इस रोग क उपचार मरहम/आयन्टमेन्ट आदि लगा-लगा कर रहे है जबकि यह बीमारी केवल खाने-पीने की दवाओं द्वारा ही जड़ से समूल नष्ट की जा सकती है। चर्म रोग होने पर उसे ऊपरी उपचार द्वारा दबाना अन्य कई प्रकार की बीमारियों को नियंत्रण देना है। इससे रक्तचाप व मानसिक बीमारियां व अन्य घातक बीमारियां स्वः ही पैदा होने लगती हैं। प्रभावित चर्म स्थान पर मरह्म व अन्य दवाओं के उपयोग से बीमारी समाप्त न होकर शरीर के अन्दरूनी अंगों को हानि पहुंचाती है।
- इस बीमारी का सही प्रकार से उपचार करने से पूर्व रोग की जड़ को दूर करना आवश्यक होता है। पहले ह रोगी की शारीरिक मानसिक प्रकृति को जानकार खाने व पीने की औषधियां देते हैं। अनन्तः रोगी की प्रतिरोधक शक्ति को बढ़ाकर बीमारी को जड़ से दूर किया जाता है। उपचार से पहले या उपचार के दौरान यदि रोगों को ज्यादा परेशानी होती है तो तात्कालिक उपचार के लिए अन्य प्रकार की औषधियां दी जाती हैं।
- इस बीमारी में दवाओं का सेवन लम्बे समय तक करना आवश्यक होता है। दवाओं का सेवन नियमपूर्वक न करना भी बीमारी को आगे बढ़ाने में पूर्ण सहायक होता है। इस बीमारी से पीड़ित व्यक्ति को खाने-पीने में शुध्द शाकाहारी भोजन, हरी सब्जियां, फल आदि का प्रयोग करना अति आवश्यक है। नियमित रूप से ताजा पानी अधिकाधिक पीते रहना चाहिये जिससे कि पाचन क्रिया सुलभ बनी रहे। नहाने-धोने के लिए बाजार साबुनों का प्रयोग पूर्णतः बन्द करके चिकित्सा प्रणाली में कार्य करने वाले साबुनों का उपयोग हितकर होता है। वर्तमान में सोरायसिस नामक यह रोग-धीरे-धीरे संक्रमण की तरह देश में फैल रहा है। इसके लिए रहन-सहन शुध्द वातावरण होना अति आवश्यक है।
इसके अलावा इसके अन्य कई प्रकार हैं जो कि कम ही मरीजों मैं पाये जाते हैं जैसे :-
- guttate psoriasis-4-5 मिमि के गोल निशान बनते है ,अक्सर बच्चों मैं गले के संक्रमण के बाद होते हैं और पूरे शरीर पर गोल गोल निशान बनते है जो कि अधिकतर ठीक हो जाते हैं पर कई बार ये क्रोनिक प्लाक सोरायसिस मैं परिवर्तित हो सकते हैं
- erythrodermic psorisis-जब सोरायसिस शरीर के 80 प्रतिशत हिस्से तक फैल जाता है तो इसे कहते हैं,यह एक प्रकार का गंभीरतम प्रकार है जिसका तुरंत किसी विशेषज्ञ से उपचार की आवश्यता होती है अन्यथा जीवन के लिए खतरा हो सकता है.
- pustular psoriasis-यह भी गंभीर प्रकार का सोरायसिस है जिसमें पूरे शरीर पर छाले बन जाते हैं जिनमें pus भरी होती है.
- कई बार यह मात्र हथेली और पगतली पर ही होता है (palmo plantar psoriasis) और जब यह सिर्फ सर मैं होता है (scalp psoriasis ).
- हमारी त्वचा जिस प्रकार से हमारे बाल बढते है ,जिस तरह नाखून बढते हैं वैसे ही निरंतर बनती रहती है और उतरती रहती है। और हमारे शरीर की संपूर्ण त्वचा एक महिने में पूरी बदल जाती है.पर जहां सोरायसिस होता है वहां यह त्वचा केवल चार दिन में बदल जाती है
- साधारणतया सोरायसिस सामान्य मॉश्चराइजर्स या इमॉलिएंट्स जैसे वैसलीन ,ग्लिसरीन.या अन्य क्रीम्स से भी नियंत्रत हो सकता है , सिर पर जब ये होता है तो विशेष प्रकार के टार शैंपू काम मैं लिया जाता हैं,सिर के लिए सैलिसाइलिक एसिड लोशन और शरीर पर हो तो सैलिसाइलिक एसिड क्रीम विशेष उपयोगी होती है.इसके अलावा कोलटार(क्रीम,लोशन,शैम्पू) diatharnol(chryosorabin bark extract ) आदि दवाइयां विशेष उपयोगी होती हैं
फोटोथैरेपी:-
- जिसमें सूर्य की किरणों मैं पायी जाने वाली UV-A और U V-B किरणों से से उपचार किया जाता है.PUVA थैरेपी जिसमें psoralenes +UVA थैरेपी सामान्य रूप से काम लिया जाने वाला उपचार है.
- इसके अलावा कैल्सिट्रायोल और कैल्सिपौट्रियोल नामक औषधियों का भी बहुत अच्छा प्रभाव होता है पर ये इतनी महंगी हैं कि सामान्य आदमी की पहुंच से बाहर होती हैं
- इसके अलावा जब बीमारी ज्यादा गंभीर हो तब मीथोट्रीक्सैट और साईक्लोस्पोरिन नामक दवाईयां भी काम ली जाती हैं पर ये सब किसी विशेषज्ञ चिकित्सक की देखरेख मैं ही लेनी चाहिये.
- विशेषज्ञ से मिलता रहे तो ज्यादा परेशान नहीं होता है. विशेषज्ञ चिकित्सक के अलावा उपचार लेना भारी पङ सकता है,क्यों कि अक्सर लोग लंबी बीमारी होने की वजह से नीम हकीमों के,और गारंटी से ठीक कर देने वालों के चक्कर मैं पङ जाते हैं, और सामान्य रूप से ये देखा गया है कि erythrodermic psorisis, या pustular psoriasis गंभीरतम प्रकार है सोरायसिस के वे इस देशी या गारंटी वाले इलाज की वजह से ही होते है क्यों कि इस प्रकार के उपचार मैं ज्यादा तर स्टीरॉइड्स का उपयोग किया जा सकता है जिनसे अधिकतर चमङी की बीमारियों मैं थोङा बहुत फायदा जरूर होता है पर सोरायसिस मैं ये विष का काम करती है,और थोङी सी बीमारी भी पूरे शरीर मैं फैल जाती है.


No comments:
Post a Comment